無料矯正相談を
実施しております
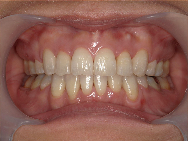
当院では、一般歯科と矯正歯科が同時に受けられます。
矯正治療は矯正のみで全て完結出来るというものではありません。成人矯正治療には親知らずの抜歯や事前の虫歯治療、矯正治療後の補綴治療が必要になるケースが多くあります。
歯並びのお悩みの相談を無料で実施しております。
「歯並びを綺麗にしたい」「現在の歯並びや矯正の費用について相談したい」「子どもの歯の生え方が気になる」などのご相談だけでも問題ございません。どうぞお気軽にご相談ください。

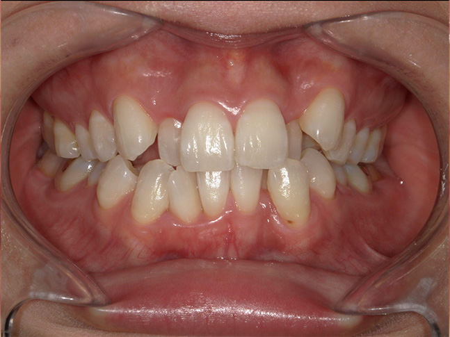
当院では、一般歯科と矯正歯科が同時に受けられます。
矯正治療は矯正のみで全て完結出来るというものではありません。成人矯正治療には親知らずの抜歯や事前の虫歯治療、矯正治療後の補綴治療が必要になるケースが多くあります。
歯並びのお悩みの相談を無料で実施しております。
「歯並びを綺麗にしたい」「現在の歯並びや矯正の費用について相談したい」「子どもの歯の生え方が気になる」などのご相談だけでも問題ございません。どうぞお気軽にご相談ください。
矯正専門医院では虫歯や・抜歯、矯正治療後の補綴処置を行っていません。一般歯科医院の矯正では矯正医が非常勤務のために決められた曜日や日時に通院するという通いにくさが出てしまいます。「ワイヤーがあたって痛い」「ブラケットが外れた」「予約を変更したい」などトラブルがあった場合でもいつでも対応してくれる医院をお勧めします。
ワイヤー矯正の場合は原則、月に1回です。
インビザライン、インビザラインgo、クリアコレクトは患者様によって通院回数が異なります。
担当Dr、DH、受付にてスケジュールをご提案させていただきますのでご安心下さい。
矯正治療は気になった時が即相談に行くタイミングです。悩んでいると、あっという間に2年経ってしまうものです。矯正治療は歯並びだけでなく顔貌(特に横顔)まで変えることが出来ます。

振動型加速矯正装置(VPro)は患者様ご自身で安全かつ簡単にご家庭で加速矯正治療を行うことができる画期的な装置です。
振動型加速矯正装置(VPro)は高周波振動によって歯の周りの組織を活性化させ、痛みを和らげながら歯の動くスピードを速める装置です。
従来の矯正治療は骨や組織に圧力をかけて行うものですが、痛みを軽減しながら治療を行うことが可能となります。
一般的に歯列矯正は、約2年〜3年程の治療期間がかかります。
歯自体は比較的速く移動させることが可能なわけですが、歯根の周辺の骨の再生はそれほど速いスピードで起こらないため、安全に歯の移動を加速することは通常は難しいという現状があるためです。この点を解決するのが振動型加速矯正装置(VPro)です。
毎日5分、日常の合間の時間に簡単に治療ができます。マウスピースやワイヤー装置でも併用していただけます。
当院では無料カウンセリングを実施しています。お気軽にご相談ください。
03-6909-0418| カウンセリング | 無料 / 30分 ※2回目以降 ¥5,500 |
|---|

若くして歯並びが悪いケースにおすすめです。矯正治療は若い人ほど残りの人生が多く得をします。飲み会などが多い方はマウスピースを外している時間が多くなってしまいます。その場合、マウスピース矯正ではなくワイヤー矯正がお勧めです。

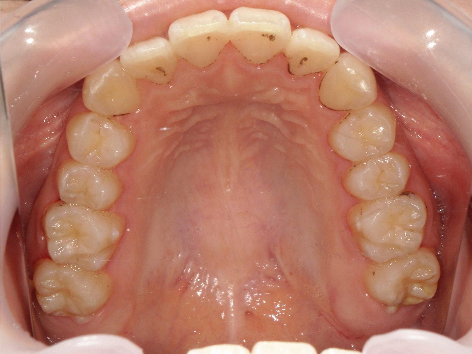
前歯のすきっ歯のみ、あるいは前歯の翼状捻転歯数本のみのなど、数本のみの歯並び矯正を部分矯正と言います。

透明で目立ちにくいため、矯正治療を人に気付かれたくない方におすすめな矯正方法です。治療期間は約2年弱が多いです。年齢制限はありませんが大人の歯に生え代わっていれば可能です。
| 治療内容 | インビザライン |
|---|---|
| 治療期間 | 6ヶ月 |
| 治療費 | ¥1,000,000+税 |
| 特徴 | PBMヒーリングを使用しております 別途料金¥150,000+税 |
| 治療後に起こりうる リスク |
・ブラックトライアングル →隣同士の歯と歯がくっついている点と歯茎の隙間にできる三角の隙間のこと ・リテーナー(保定装置)を使用しないと歯並びが戻りやすい ・噛み合わせが変わる |

インビザライン認定ドクターによる歯並びのお悩みの相談を無料で実施しております。
「歯並びを綺麗にしたい」「現在の歯並びや矯正の費用について相談したい」「子どもの歯の生え方が気になる」などのご相談だけでも問題ございません。どうぞお気軽にご相談ください。
カードは1万円以上から使えます。
一括払い・分割払い どちらでも選択できます。
※分割払いの回数は受付にてご相談ください。
インビザライン・インビザラインgo・クリアコレクトは患者様によって通院回数が異なります。
担当Dr・DH・受付にてスケジュールをご提案させていただきますので、ご安心ください。
どうしても難しい場合はご相談ください。
破損や紛失した場合に2つめを製作する際には、
1つ¥22,000になります。
加速装置を使用することで、矯正の期間を短縮できます。
さらに抗炎症作用がある為、矯正中の痛みを軽減できます。
※ワイヤー矯正中の方もお使いいただけます。

| 1993/03 | 昭和大学歯学部 博士学位取得 |
|---|---|
| 1997/04 | 昭和大学大学院 博士学位取得 |
| 1997/04 | 昭和大学歯科病院 第一補綴科 勤務員外助手 |
| 1997/10 | 昭和大学付属烏山病院歯科 出向 |
| 1998/04 | 昭和大学歯科病院 第一補綴科 助手 |
| 2002/10 | 神楽坂駅前吉野歯科 開業 理事長 |
| 2003/05 | 昭和大学歯学部 兼任講師(補綴科) |
| 2016/10 | 医療法人社団 Ken sky wing 設立 理事長就任 |
| 診療時間 | 月火水木金土日祝 |
|---|---|
| 09:00-18:30 08:30-16:30 |
◯◯◯◯◯ーーー ーーーーー◯◯◯ |
※最終受付は30分前までです。
月・金曜:福島先生は17時までの診察
火・水曜:杉浦先生は16時半までの診察